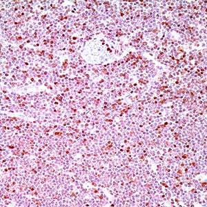
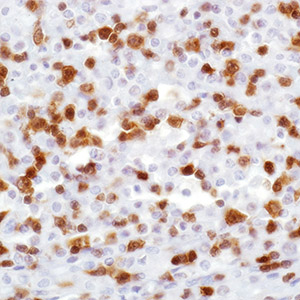
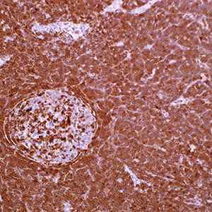
ZAP-70 является 70 кДа тирозинкиназой, обнаруженной в Т-клетках и натуральных киллерах. Контроль трансляции этого белка осуществляется посредством гена IgVH. ZAP-70 белок экспрессируется в клетках лейкозов, примерно в 25% случаев хронического лимфолейкоза. Антитело к ZAP-70 является хорошим маркером для дифференциации Ig-мутировавшего подтипа (анти-ZAP-70 отрицательны) от Ig-немутировавшего (анти-ZAP-70 положительны) подтипа хронического лимфолейкоза и может определить группы пациентов с разными клинических курсами. Было показано, что положительное окрашивание Ig-немутировавшего хронического лимфолейкоза при использовании антитела к ZAP-70 означает плохой прогноз для пациента.
|
Купить Cell Marque Zap-70, а также другие реактивы, антитела и системы детекции от лучших мировых производителей вы всегда сможете в нашей компании. |
![]() |
![]() |
![]() |
Наши преимущества:
Только качественные |
Минимально возможные |
Доставка по всей России с соблюдением температурного режима |
Полный пакет документов |
На данный момент мы сотрудничаем с ведущими зарубежными производителями лабораторных реактивов. Нашими клиентами являются как негосударственные, так и государственных учреждения, в том числе медицинские организации Москвы и других городов России. Для постоянных клиентов предусмотрена система скидок.











