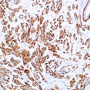
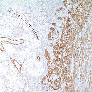
Тяжёлая цепь гладкомышечного миозина (SMMS-1) представляет собой цитоплазматический структруный белок - основной компонент сократительного аппарата гладкомышечных клеток. SMMS-1 также является белком, ассоциированным с миоэпителием. Антитело к SMMS-1 - моноклональное антитело к тяжёлым цепям гладкомышечного миозина, которое реагирует с висцеральными и сосудистыми гладкомышечными клетками человека. Антитело также вступает в реакцию с миоэпителиальными клетками человека. Антитело к SMMS-1 очень полезно для дифференциации доброкачественных склерозирующих поражений молочной железы от инфильтрирующих карцином в сложных случаях, поскольку данное антитело хорошо окрашивает миоэпителиальный слой в доброкачественных новообразованиях и не окрашивает в инфильтрирующих карциномах.
|
Купить Cell Marque Myosin, Smooth Muscle, а также другие реактивы, антитела и системы детекции от лучших мировых производителей вы всегда сможете в нашей компании. |
![]() |
![]() |
Наши преимущества:
Только качественные |
Минимально возможные |
Доставка по всей России с соблюдением температурного режима |
Полный пакет документов |
На данный момент мы сотрудничаем с ведущими зарубежными производителями лабораторных реактивов. Нашими клиентами являются как негосударственные, так и государственных учреждения, в том числе медицинские организации Москвы и других городов России. Для постоянных клиентов предусмотрена система скидок.










