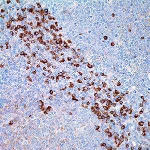
IgG – наиболее распространённый иммуноглобулин, равномерно распределённый в крови и тканевой жидкости. Молекулы IgG продуцируются и секретируются клетками плазмы и В-клетками. Антитела IgG принимают участие во вторичном ответе (главные антитела первичного ответа – IgM), который происходит приблизительно через месяц после распознавания антигена. Таким образом, наличие специфических антител IgG свидетельствует о созревании иммунного ответа. Анти-IgG антитело вступает в реакцию с гамма цепями иммуноглобулина IgG и полезно при идентификации лейкемии, плазмацитом и В-клеточных лимфом Ходжкина.
|
Купить Cell Marque IgG, а также другие реактивы, антитела и системы детекции от лучших мировых производителей вы всегда сможете в нашей компании. |
![]() |
Наши преимущества:
Только качественные |
Минимально возможные |
Доставка по всей России с соблюдением температурного режима |
Полный пакет документов |
На данный момент мы сотрудничаем с ведущими зарубежными производителями лабораторных реактивов. Нашими клиентами являются как негосударственные, так и государственных учреждения, в том числе медицинские организации Москвы и других городов России. Для постоянных клиентов предусмотрена система скидок.









