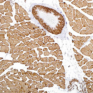
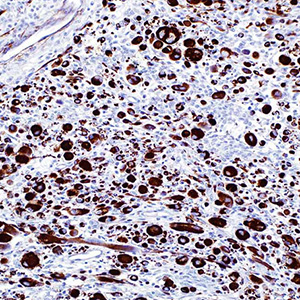
Актин является основным компонентом цитоскелета. Данное антитело выявляет актин в клетках скелетных, сердечных и гладких мышц. Оно не вступает в реакцию с другими мезенхимными клетками, кроме миоэпителия. Актин, исходя из его изоэлектрических характеристик, можно разделить на три различных компонента: альфа, бета и гамма, в порядке увеличения изоэлектрической точки. Антитело к специфическому для мышц актину распознает альфа и гамма изотипы всех групп мышц. Немышечные клетки, такие как сосудистые эндотелиальные клетки и клетки соединительной ткани, не окрашиваются этим антителом. Также отрицательными являются клетки опухолей немышечного происхождения, такие как карциномы, меланомы и лимфомы. Данное антитело очень полезно для идентификации рабдоидных клеточных элементов.
|
Купить Cell Marque Actin, Muscle Specific, а также другие реактивы, антитела и системы детекции от лучших мировых производителей вы всегда сможете в нашей компании. |
![]() |
![]() |
![]() |
Наши преимущества:
Только качественные |
Минимально возможные |
Доставка по всей России с соблюдением температурного режима |
Полный пакет документов |
На данный момент мы сотрудничаем с ведущими зарубежными производителями лабораторных реактивов. Нашими клиентами являются как негосударственные, так и государственных учреждения, в том числе медицинские организации Москвы и других городов России. Для постоянных клиентов предусмотрена система скидок.











